티스토리 뷰
홍해인이 앓는 클라우드세포종 (교모세포종) 알아보기
교모세포종은 뇌종양 중에서 가장 공격적이며 발병률이 높은 형태로, 대부분의 환자에게 심각한 예후를 가져옵니다.
이 글에서는 교모세포종의 특징, 발생원인, 증상, 진단 방법, 치료 옵션 및 생존율에 대해 자세히 알아보고, 뇌종양 수술이 잘되는 병원에 대해서도 알아보려고 합니다.
최근 '눈물의 여왕' 드라마에서 홍인이 겪는 클라우드세포종의 실제 모델인 교모세포종에 대한 증상부터 치료까지 개괄적으로 알아보겠습니다.
아래 버튼을 누르면 교모세포종 세부 내용을 지금 바로 확인할 수 있습니다.
목차
홍해인이 앓는 클라우드세포종 (교모세포종) 알아보기
핵심 요약
진단
치료 방법
예후
주의 사항
결론

핵심 요약
1. 교모세포종은 중추신경계의 신경교세포에서 시작되는 암으로, 뇌 조직을 지지하고 보호하는 역할을 합니다.
2. 이 종양은 유전적, 환경적 요인에 의해 발생할 수 있으며, 바이러스 감염이나 방사선 노출도 원인이 될 수 있습니다.
3. 교모세포종은 빠르게 성장하며 뇌의 여러 부위로 침투하는 경향이 있습니다. 초기 증상으로는 두통, 메스꺼움, 구토 등이 있습니다.
4. 진단은 MRI, CT 스캔을 통해 이루어지며, 조직 검사로 확진합니다.
5. 치료는 수술, 방사선 치료, 화학 요법을 포함한 종합적인 접근이 있어야 합니다.
6. 교모세포종의 평균 생존율은 낮으며, 초기에 적극적인 치료가 중요합니다.
7. 뇌종양 수술에 전문적인 병원에서의 적절한 치료가 생존율을 높일 수 있습니다.
증상 및 발생
교모세포종은 뇌의 다양한 부위에 발생할 수 있으며, 그 위치에 따라 증상이 달라질 수 있습니다.
일반적으로 두통, 시각 및 언어 장애, 신체 일부의 마비 등 다양한 신경학적 증상을 유발합니다.
이러한 증상들은 종양이 뇌내압을 증가시키기 때문에 나타납니다.



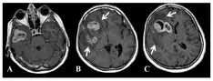
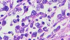
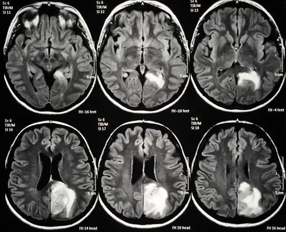
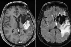
진단
교모세포종의 진단은 주로 고해상도의 영상 진단 도구인 MRI 또는 CT를 통해 이루어집니다.
이러한 검사를 통해 종양의 위치, 크기 및 주변 조직과의 관계를 정확히 평가할 수 있습니다.
또한, 최종적인 진단을 위해서는 조직 검사가 필수적으로 수행됩니다.



치료 방법
교모세포종의 치료는 수술적 제거를 기본으로 하며, 가능한 많은 종양을 제거하는 것이 목표입니다.
수술 후에는 방사선 치료와 항암 화학요법이 병합되어 이루어집니다.
최근에는 더 나은 치료 결과를 위해 표적 치료제 사용과 면역 요법이 추가되고 있습니다.
특히, 재발한 교모세포종에 대해서는 더 집중적인 치료 접근이 필요할 수 있으며, 환자의 상태에 따라 맞춤형 치료가 이루어집니다.



예후
교모세포종의 예후는 일반적으로 좋지 않습니다.
초기 진단과 적극적인 치료에도 불구하고 많은 환자들이 진단 후 1년에서 2년 사이에 사망합니다.



그러나 환자의 나이, 종양의 위치 및 크기, 그리고 치료에 대한 반응에 따라 생존율은 달라질 수 있습니다.
적절한 치료와 관리를 통해 일부 환자는 장기 생존이 가능합니다.
주의 사항
교모세포종 환자는 환경적 요인으로부터의 보호가 필요합니다.
특히, 방사선 노출과 화학물질에 대한 노출을 최소화하는 것이 중요합니다.
또한, 간질 발작이나 진행성 마비와 같은 증상이 나타날 경우 즉시 전문 의료진의 진료를 받는 것이 필요합니다.



결론
교모세포종 치료에 있어서 수술은 매우 중요한 부분입니다.
따라서 뇌종양 수술을 잘하는 병원에서 치료받는 것이 좋습니다.
이런 병원들은 첨단 의료 장비와 경험 많은 의료진을 갖추고 있어, 수술 결과와 환자의 예후에 긍정적인 영향을 미칠 수 있습니다.



교모세포종은 뇌종양 중에서도 특히 치료가 까다로운 형태로, 환자와 의료진에게 지금까지 정복이 어려운 질병 중의 하나입니다.
따라서 정확한 진단과 적극적인 치료 접근이 생존율을 높이는 데 중요합니다.
또한, 환자의 삶의 질을 유지하고 향상하기 위한 지속적인 관리와 지원이 필수적입니다.
'눈물의 여왕'에서 홍해인이 겪는 클라우드세포종과 같은 드라마틱한 사례들은 실제와는 다를 수 있으므로, 의학적 조언과 치료를 통해 정확한 정보를 얻는 것이 중요합니다.